The most common cancer among males in India is ORAL CANCER.
Do you know daily eight Indians losing their life due to oral cancer?
Do you know for every one hour one Indian diagnosed as oral cancer?
Do you Know one third of oral cancer patient among the world are present in India.
80% - 90% of oral cancer is due to tobacco use.
But around 9 in 10 cases of oral cancer could be prevented by changes in life style.
PREVENTION AND EARLY DETECTION IS THE KEY FOR TREATMENT FOR ORAL CANCER.
SIGNS AND SYMPTOMS OF ORAL CANCER TO DETECT EARLY:
- An ulcer or white or red patch anywhere in the mouth that does not heal within three weeks.



- A lump or swelling anywhere in the mouth, jaw or neck that persists for more than three weeks


- A difficulty in swallowing, chewing or moving the tongue or jaw.
- A swelling of the jaw that causes dentures to fit poorly or become uncomfortable.
- A numbness of the tongue or other area of the mouth.
- A chronic sore throat or hoarseness that persists more than 6 weeks.
- A feeling that something is caught in the throat.
- An unexplained loosening of teeth with no obvious dental cause.
- Unexplained bleeding in the mouth.
- Unexplained weight loss.
PEOPLE AT RISK FOR ORAL CANCER:
- Tobacco and betalnut/ arecanut consumption.

- All forms of tobacco including cigarettes, beedi, pipes, cigars and chewing tobacco.

. - Alcohol consumption.

-
Sharp teeth or ill fitting dentures.
-
Human papilloma virus (HPV) infection.
-
Weak immune system (due to disease or drugs).
-
Exposure to excessive sun UV rays.
-
Lack of fruits and vegetables in diet.
THINGS TO DO TO PREVENT ORAL CANCER:
- Avoid use of betal leaves.
- Avoid use of arecanut/ betalnut in all forms
- Avoid smoking and drinking
- Maintain mouth hygiene well
- Having a healthier “low meat, low fat” diet rich in vegetable and fruit.
- Regular exercise to keep body fit.
- Self oral examination monthly and expert oral examination by doctor yearly.
- HPV vaccination
ORAL CANCER – SELF EXAMINATION SCREENING:
- Choose bright place for examination.
- Clean your hands before examination.
- Remove any dentures or appliances from your mouth.
- Look for any change in face and neck.
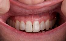
- Check both sides of your face and neck should look the same.
- Look at the skin on your face and neck for any changes in colour, moles that have changed, lumps or sores.
- Feel both sides of your neck gently with your fingertips to help detect lumps, bumps and sore spots.
- Pull your upper lip up and then lower lip down and check. Gently squeeze your lips as well as your cheeks with your index finger and thumb to feel for lumps, bumps or tenderness. Report any pain, loss of feeling or any areas that bleed without cause.

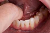
. - Check the roof of your mouth for changes in colour or lumps. With your index finger gently press the roof of your mouth to feel for changes.

- Examine the floor of your mouth and feel it with index finger. Remember you are looking for color changes, swelling or changes in shape.


- Look at the inside of both of your cheeks with flashlight, and then feel those areas with finger.


- Pull out your tongue with your finger and thumb and examine all sides. Feel your tongue with your fingers from tip to base


- Look at your gums for color change, lumps, bumps or tenderness. Report any sores that have not healed after 14 days. Gently run your index finger on your upper and lower gums.
